“医生,我肺里查出个结节,是不是癌啊?”在影像科,这句话堪称“年度高频提问”。每次遇到拿着报告脸色发白的患者,我们都得先安抚情绪:“先别自己吓自己,肺结节可不是‘癌信号’的专属代名词,它更像肺里的‘小问号’,得慢慢拆解才知道答案。”今天就用大白话+干货,带大家看透肺结节的真面目!
第一关:谁该查?怎么查?——肺结节的“筛查攻略”
不是所有人都需要查肺结节,盲目筛查只会徒增焦虑。就像侦探只盯“重点嫌疑人”,肺结节筛查也有明确的“目标人群”。根据《肺结节诊疗指南》,以下几类朋友可得上点心:

至于筛查方式,胸部低剂量螺旋CT是“王牌选手”。别跟我说“我每年都拍胸片,怎么没发现?”胸片就像给肺部拍“全身照”,小到几毫米的结节很容易被肋骨、心脏挡住;而CT是“精细扫描”,哪怕是3毫米的“小不点”也能精准捕捉,而且辐射剂量还低,安全性拉满。
第二关:肺里为啥长“小疙瘩”?——结节的“身世揭秘”
很多人一看到“结节”就联想到“癌症”,其实肺结节的成因复杂得很,就像菜市场的“杂拌菜”,啥都有可能。咱们按“良恶性”分分类,心里就有数了:
良性结节:最常见的“老实人” 这部分结节占了绝大多数,就像肺里的“小补丁”或“小疙瘩”,根本不会癌变。比如肺炎、肺结核痊愈后留下的“疤痕”,肺部感染细菌或真菌形成的“小脓包”,甚至是肺里的“小淋巴结”被当成结节。还有些人长期吸入粉尘,肺里形成的“粉尘结节”,也都属于良性结节。

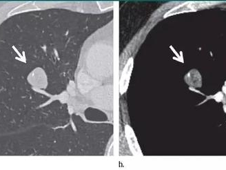
图1:肺错构瘤

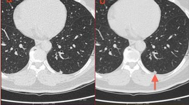
图2:肺内淋巴结
恶性结节:需要警惕的“危险分子” 这部分相对少见,主要是肺癌的早期表现,或者是身体其他部位的癌症转移到肺部形成的。但也不用怕,早期发现并处理,治愈率非常高。

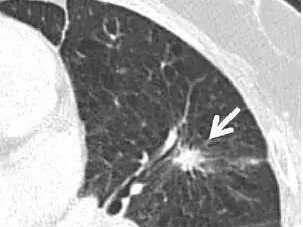
图3:周围型肺癌
小提示:良性结节就像脸上的“小痣”,大多相安无事;恶性结节则像“定时炸弹”,但早发现就能及时拆除!
第三关:影像科医生怎么看?——结节的“颜值密码”
影像科医生就像“结节鉴宝师”,拿着CT片子反复端详,其实是在看结节的“颜值特征”——这些特征直接关系到它是“良民”还是“歹徒”。我们主要看这几个关键点:

举个例子:如果CT报告写着“直径5毫米,边缘光滑,密度均匀”,那大概率是良性结节,就像肺里长了颗“小珍珠”;如果写着“直径10毫米,边缘毛刺,密度不均”,那就要提高警惕,进一步检查了。
第四关:查出结节怎么办?——科学处理“不踩坑”
查出结节后,最忌讳的就是两种极端:要么吓得茶饭不思,要么不当回事放任不管。正确的做法是“看情况出招”,医生会根据结节的大小、形态、密度以及患者的风险因素,制定个性化方案:
1.定期随访:针对“低危小结节” 对于直径<8毫米、形态规则、密度均匀的良性可能性大的结节,医生通常会建议“定期复查CT”。比如3-6个月查一次,如果结节没变化,就延长到6-12个月查一次,持续观察2-3年。这就像“盯梢”,只要它不搞事,就不用动手。
2.进一步检查:针对“可疑结节” 如果结节大小、形态有异常,或者随访中发现增大,就需要进一步“拷问”它的身份。常用的方法有增强CT(给血管打药,看结节的血供情况)、PET-CT(判断结节的代谢活性,恶性结节通常代谢旺盛),或者在CT引导下穿刺活检(取一小块结节组织做病理检查,这是判断良恶性的“金标准”)。
3.及时治疗:针对“确诊恶性结节” 如果病理检查确诊是恶性结节,也别慌!早期肺癌通过手术切除,5年生存率能达到90%以上,很多人术后就能正常生活。如果是晚期,也有化疗、放疗、靶向治疗等多种方法,能有效延长生存期。
最后总结:肺结节不可怕,科学应对是关键
说到底,肺结节只是一个“影像学发现”,不是“癌症诊断书”。查出结节后,先别自己吓自己,拿着报告找呼吸科或胸外科医生,让专业人士判断。同时,戒烟限酒、远离粉尘油烟、坚持运动,给肺部创造一个干净健康的环境,才是预防结节的根本。
参考资料:1. 《医学影像诊断学》(人民卫生出版社);2. 《肺结节诊疗指南(2023年版)》(中华医学会呼吸病学分会)。
供稿:影像科 张鹏